眼袋專門診所!5合1隱痕眼袋手術特色、費用,FB、Dcard眾多好評推薦!
✦ 5合1隱痕眼袋手術特色、費用|5大眼周問題一次改善
眼周是最容易洩漏年齡的部位,多了眼袋視覺年齡立刻老10歲!但單純去除眼袋是不夠的,眼周問題環環相扣,處理完眼袋又要處理淚溝、黑眼圈等問題,非常麻煩。
因此,首爾醫美診所的客製化『5合1隱痕眼袋手術』:除去眼袋+回填淚溝+消除黑眼圈+撫平細紋+眼下拉提,讓你一次改善眼周五大問題方便照顧、恢復期短,是本院非常知名且熱門的手術!
✦ 5合1隱痕眼袋手術 案例分享
✦ 首爾眼袋手術案例心得 – Shirley
我是網拍模特兒Shirley,因為小時候常常熬夜的關係,讓我現在有很嚴重的眼袋問題,有了眼袋後不但看起來很顯老,甚至造成我工作上很大的煩惱,很多廠商和化妝師都說我的眼袋在鏡頭上的呈現是個瑕疵,也會讓整體妝感變得很不服貼、髒髒的。化妝師推薦我可以去她之前做雙眼皮手術的首爾醫美,我上網查了首爾官網跟各大論壇的評論,感覺首爾醫美在眼整形手術這塊好像很專精,而且有很多「五合一隱痕眼袋手術」的好評,於是決定選擇首爾醫美幫我解決眼袋問題!
✦ 四十不到活的像“大叔”眼袋有解嗎?! 首爾醫美YT指名眼整專門診所!
✦首爾眼袋手術案例心得 – Chloe
我是Chloe,常常在網路上分享生活。前陣子有粉絲說我的照片看起來有憔悴感,提醒我最近是不是太累了……其實早在學生時期眼袋就很腫很明顯,化妝才可以稍微遮住,但是側面看眼袋還是很拋,覺得很不美觀,很困擾。拍照時美妝濾鏡不管調到多強,眼袋還是屹立不搖在原地!在網路上查到很多網友推薦的首爾醫美診所的「5合1隱痕眼袋手術」,這是針對眼部問題一次改善的療程,了解後就覺得太適合我了!
✦ 臥蠶、淚溝、眼袋怎麼分?

臥蠶
位於眼睛下方1cm寬,圓潤飽滿,笑起來尤為明顯,又稱桃花眼。

淚溝
是從內眼角往下延伸的一條凹溝,與黑眼圈疊加成凹陷狀。

眼袋
位於眼睛下方約3cm寬,脂肪鬆軟呈三角狀突出,不笑就很明顯,笑起來反而變淡。
✦ 什麼是「5合1隱痕眼袋手術」?
「5合1隱痕眼袋手術」為眼整形菁英醫師團隊研發的客製化療程,透過微創技術將多餘的眼窩脂肪取出,並運用自體補脂的方式回填在淚溝及蘋果肌處,可同時達到:去除眼袋、回填淚溝、消除黑眼圈、眼下拉提、撫平細紋,針對眼部五種問題一次合併改善!且適用於改善所有眼袋類型。另外亦可依照每人不同的眼部問題,搭配電波/音波/玻尿酸等複合式治療,讓術後效果更完善。
✦ 眼袋手術特色及費用比較表
| ✦五合一隱痕眼袋手術 | 一般眼袋手術 | |
| 適應對象 | 有眼袋、淚溝以及眼部周圍鬆弛問題等 | |
| 麻醉方式 | 局部麻醉/舒眠麻醉 | |
| 恢復期 | ✦小於 7 天 | 7 – 14天 |
| 疼痛度 | ✦近乎無痛 | 輕微疼痛 |
| 優點 | ✦客製化改善問題,選擇性多 | 可改善眼袋問題 |
| 缺點 | 技術門檻高 | 制式化改善,選擇性少 |
✦ 眼袋手術專門診所
✦ 「五合一隱痕眼袋手術」五大優勢
皆由知名眼整形.外科醫師執刀,定期赴歐、韓等國家進修,同步醫療水平,兩岸三地名媛名人指定推薦。眼部手術有別於一般大型手術,更注重細膩度與平衡美學,在培訓醫師時,會更重視細節,維持優良的醫療品質。
醫師使用器械輔助,透過小小創口就能除去眼袋、修剪多餘皮膚,外觀隱痕不留疤。
局部麻醉的學問,會決定術後的恢復速度。醫師透過專業培訓,能精準掌握施打的量與位置,因此除了能大幅降低疼痛感,更能縮短術後腫脹、瘀青以及恢復期。
全程療程約1-2小時,一次改善眼部5大問題,無須多次手術。
搭配醫療組織膠,協助組織快速癒合,平均小於7天恢復期(隔日可上班),眾多口碑案例好評,術後滿意度高。
✦ 5合1隱痕眼袋手術 無痕上鏡零死角 怎麼拍都美
✦ 延伸閱讀:更多眼袋手術相關案例
✦ 5合1隱痕眼袋手術 案例分享

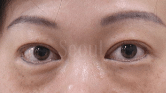
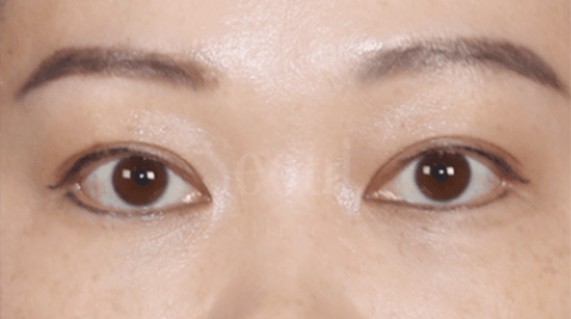
- Before -

- After -

- Before -

- After -

- Before -

- After -

- Before -

- After -

- Before -

- After -

- Before -

- After -
✦「3合1雙重抽脂」手術常見問題
A:眼袋的成因有許多種,當眼部脂肪隨著時間地心引力造成脫垂,通常切開法可以藉由分離眼皮與骨膜間的結締組織,並做眼袋脂肪轉移術來去除眼溝部份改善部份的黑眼圈。但除非潛在因素解決(如過敏性鼻炎、熬夜..等),則無法藉由眼袋手術來根治。
A:影響眼袋手術費用價格的原因包含:手術醫師資歷、眼袋手術方式、眼袋手術合併項目以及是否為二次重建,由於眼周問題較複雜,每個人眼袋類型不同、治療方式與合併項目都不同(例如淚溝、黑眼圈、眼周鬆弛下垂等),所以眼袋手術費用價格則需由醫師專業評估。
✦ 5合1隱痕眼袋手術 術前術後注意事項
| 手 術 前 |
|
| 手 術 後 |
|

